Начало / Ортодонтски случаи
Кръстосаната захапка

Кръстосаната захапка е от тези, които се лекуват още щом се установят. В конкретният случай детето е с кръстосана захапка във фронталните млечни зъби и лечението е продължило около 3 месеца. След като сме възстановили баланса, постоянните зъби ще пробият нормално.

Кръстосана захапка

Кръстосана захапка на 1 или повече постоянни зъби също се лекува в момента, в който се установи. В повечето ситуации горният резец като по-голям избутва долния навън. Това може да създаде рецесия (оголване) на долния зъб. Лечението продължава 2-3 месеца. След това долният зъб спонтанно се подрежда, понеже вече не е в травматична оклузия.

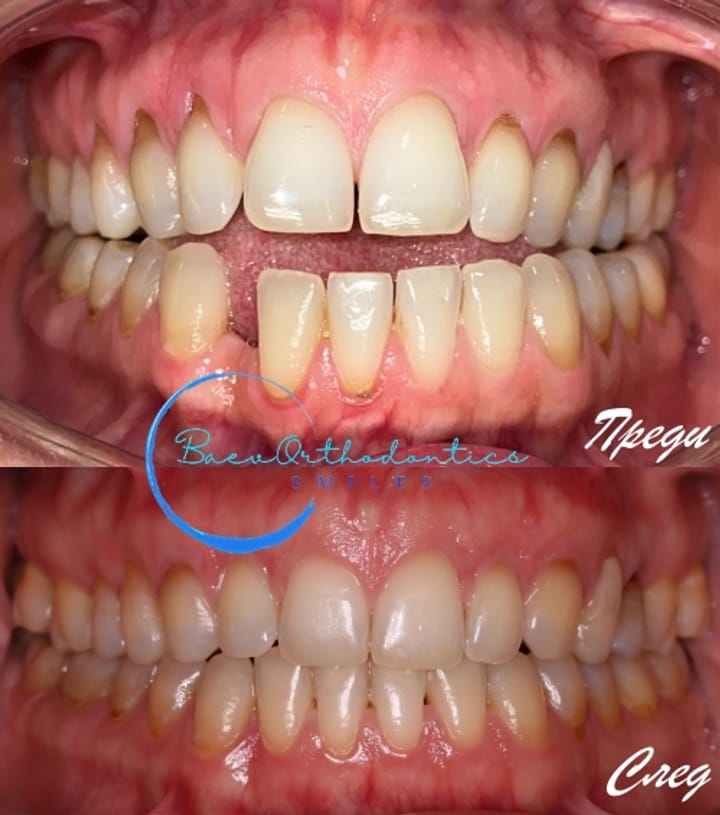
Кръстосана захапка

Кръстосаната захапка при ортодонтски възрастни пациенти е доста по-сериозна за лечение. Необходимо е да се установи дали се комбинира с прогения (обратна захапка) и да се прецени варианта за лечение. В случая сме използвали брекети да възстановим правилната оклузия.

Кръстосана захапка

Кръстосана захапка в страничният участък е желателно да се лекува преди пубертета, защото може да доведе до лицева асиметрия на по-късна възраст. Има различни апарати, които може да използваме, в зависимост от възрастта на пациента - снемаеми и фиксирани.

Кръстосана захапка

Дълбоката захапка е една от най-често лекуваните в Европа и България. Горните зъби покриват голяма част от долните и има налични силни оклузални контакти, което води до преждевременно изтриване на долните предни зъби. След корекция, оклузията е възстановена и силните междузъбни контакти са на задните зъби.

Кръстосана захапка

Клас 2 (дистална захапка, прогнатия) също е често срещана. Може да се дължи на недоразвита долна челюст, преразвита горна челюст или комбинация от двете. След ортодонтски анализ се избира най-точният вариант на лечение. При нормална захапка 1 горен зъб трябва да е разположен между два долни. При 2 клас един горен зъб оклудира с един долен.

Кръстосана захапка

Клас 3 (обратна захапка, прогения) е една от най-сериозните за лечение, особено ако има наследствена компонента. Комбинира се с вредни навици, дислалии, къса юздичка под езика. Стремежът е да се стартира ранно лечение на по-ранна възраст Фаза 1 и след това същинско ортодонтско лечение с брекети по време на пубертета Фаза 2 при пробили всички постоянни зъби. След пубертета, когато нямаме растеж лечението е ортодонтско-хирургично.

Кръстосана захапка

Ранното ортодонтско лечение (Фаза 1) се провежда при налични млечни зъби или в смесено съзъбие. Неговата цел е да се коригират вредни навици, да се развият зъбните дъги и да се създадат условия за пробив на постоянните зъби, поставяне на местопазителите, лечение на кръстосана захапка, естетика и други. След това при необходимост се преминава към Фаза 2 с брекети или алайнери за подреждане на всички зъби.

Кръстосана захапка

Ретинираните зъби са този, които са останали след периода за физиологична смяна в челюстта и често са ектопично разположени. Може да се засята 1,2 и повече зъби. Ранното ортодонтско лечение може да предвиди и реши този проблем като се направи панорамна рентгенова снимка и се стартира лечение. След пробива на постоянните зъби лечението е комбинирано ортодонтско-хирургично.

Кръстосана захапка

При отворената захапка има налично разстояние между зъбите. Може да бъде във фронталния или страничен участък. Най-често е в резултат от вреден навик, трета сливица, уголемени тонзили. Лечението е добре да започне още щом се установи проблема. Използват се снемаеми и фиксирани апарати за корекция на вредните навици в периодите на млечно и смесено съзъбие. При смяна на всички зъби лечението може да продължи с фиксирана техника - брекети или алайнери.