Защо трябва да се мият зъбите и от кога?

Защо трябва да се мият зъбите и от кога?

Един доста актуален въпрос в днешно време. Устната хигиена трябва да започне още с пробиването на първите млечни зъби. Изключително важно е да се съобрази режима на хранене на детето с миенето.

Един от най-честите въпроси от родителите към нас е следният:

“Детето ми е на 8 месеца и му пробиват двата долни млечни резеца. Трябва ли да ги мием?”.

Отговорът: ”Да, трябва да се почистват!”. Това е моментът, когато започва изграждане на навик за устна хигиена.

При млечни зъби

Почистването на 2 или 4 млечни зъба може да стане с напръстник и много малко количество паста за зъби, съобразена с възрастта на детето (6-12 месеца). Желателно е да става под формата на игра, бързо и без да усети детето. Прави се сутрин и вечер след хранене. След като започнат да пробиват повече млечни зъби и се оформи стабилно млечно съзъбие, миенето може да става с четка за зъби (детска) и паста за зъби, съобразена отново с възрастта. Измиват се зъбите от всички страни, като тук вече детето е свикнало с процедурата и я приема за нещо нормално. Тук е моментът да отбележим за рисковете от развитие на кариес. Честата употреба на захарни изделия, шоколад, бисквити, сокове със захар са предпоставка за повишаване на риска от развитие на кариес!

Митове - “Млечните зъби не се мият и не се лекуват”.

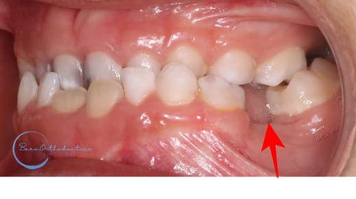
Грешка! - Млечните зъби са от особено важно значение за развитието и формирането на зародишите на постоянните зъби, на челюстите и захапката. Преждевременна загуба на млечен зъб (преди физиологичната му смяна) заради кариеси и усложнения може да е причина за забавено развитие на зародиша на постоянния зъб и нежелателно разместване на съседните зъби. Налага се поставяне на местопазители, за да се запази мястото за подлежащият постоянен зъб. Ако това не се направи има риск от ектопично пробиващи зъби или липса на място за тях.

Затова - Млечните зъби се МИЯТ!

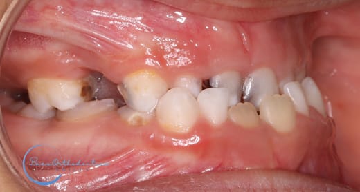
Кариес на ранното детство - КРД

Един доста голям проблем, който засяга все повече деца. Наблюдава се при деца от 1 до 3 годишна възраст. Честите междинни хранения със сладки, бисквити, шоколади, заспиване с биберон с мед, ранно включване на захар и захарни изделия, сокове от кутийка, са само част от предразполагащите фактори за развитие на КРД. В комбинация с минимална или напълно липсваща орална хигиена, резултатът е кариеси по всички млечни зъби.

Резултатът е екстрахирани млечни зъби преди нормалния период за смяна, наклонени постоянни молари, множество кариеси. Проблемът е сериозен, а лечението от ортодонт и детски дентален лекар - продължително.

Създаването на навик за устна хигиена е ключово за здраво съзъбие. Не забравяйте, че до 7-8 годишна възраст може да се наложи като родители да помагате на своето дете за орална хигиена докато то развие мануалност и самооценка за чисти зъби.  text

зъби text